Dnes je pátek 12. prosince 2025., Svátek má Simona
Počasí dnes 5°C Mlha

Články s tagem

evoluce

Člověk

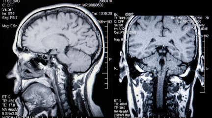
Proč máme velký mozek? Za vším je nakonec nejspíš strava

Jan Toman 19. 4. 2017
Konstatovat, že má člověk na svůj tělesný rámec neobvykle velký mozek, by bylo hrubé podcenění skutečného stavu věcí. Dokonce i na poměry primátů je centrum naší nervové soustavy skutečně obrovské – v průměru tvoří asi dvě procenta hmotnosti lidského těla. Ba co víc, na energetické spotřebě se podílí až z jedné pětiny.
Příroda

Jak vznikla křídla hmyzu? Další dílek evoluční skládačky doplnili čeští vědci

Jan Toman 14. 4. 2017
Některým zástupcům lidského rodu se to může zdát zvláštní, ale savci, a dokonce ani všichni obratlovci, nejsou nejúspěšnější skupinou pozemských organismů. Tou je totiž hmyz, který ve své velikostní kategorii obsadil snad všechna myslitelná prostředí a ekologické strategie.
Příroda

Bouřlivá evoluce ptáků: Peří na zahřátí, křídla na výstavu a blány jak u netopýrů

Jan Toman 15. 3. 2017
Kdo nikdy neslyšel o archeoptryxovi, jako by nežil. Působivé zkameněliny známého "praptáka", který snoubil znaky moderních opeřenců a dinosaurů, získaly podobnou slávu jako Tyranosaurus rex nebo Brontosaurus. Kvůli nápadně mozaikovité stavbě těla jej řada dobových výzkumníků neváhala označit za podvrh. Jak ale ukazují fosilie nalezené v posledních letech především v Číně, archeopteryx byl mezi nejrůznějšími dinosaury koketujícími s peřím, křídly a letem ještě "nejnormálnější".
Příroda

Seznamte se s 'chlupatou hlavou', která poodhaluje tajemství rané evoluce zvířat

Jan Toman 15. 2. 2017
Neuplynul ani týden od zveřejnění objevu jednoho z našich nejdávnějších příbuzných a paleontologové publikovali na stránkách prestižního časopisu Nature další průlomový objev odhalující roušku tajemství nad ranou evolucí zvířat. Nalezené zkameněliny tentokrát nepatří do příbuzenstva našich bezprostředních předků. To ovšem neznamená, že by nebyly zajímavé. Právě naopak. Veskrze nečekaným směrem totiž mění naše představy o prvních měkkýších.
Člověk

Klikaté cesty evoluce. Proč člověk ztratil kost v penisu?

Jan Toman 28. 12. 2016
Třebaže se nám to může zdát zvláštní, anatomická stavba velké části savců, včetně našich nejbližších příbuzných, se od lidské v jednom důležitém aspektu liší. Spíše pravidlem, než výjimkou, je mezi savci přítomnost pyjové kosti. Žerty stranou, pyjová kost představuje u druhů, které se její přítomností mohou chlubit, důležitou podporu při pohlavním styku. Její velikost je extrémně různorodá a na první pohled je zřejmé, že kost má za sebou velmi bouřlivé evoluční změny. Proč se ale u některých savců vyskytuje, zatímco jinde chybí? Měl ji i společný předek všech savců? A proč v evoluci člověka vymizela?
Magazín

Mobily a počítače ovlivňují lidskou evoluci. Jak postupně mění člověka?

red 19. 11. 2016
Bez mobilu dnes neudělá ani krok snad vůbec nikdo. I v těch nejzapadlejších koutech třetího světa svítí lidem do obličejů umělé světlo z chytrých telefonů. Napadlo vás někdy, jak to asi ovlivní lidskou evoluci? A co dalšího by mohlo nově vstoupit do hry?
Příroda

Kolikrát se ryby vydaly na souš? Odpověď vás možná překvapí

Jan Toman 24. 6. 2016
Přechod živých organismů na souš je považován za jeden z nejdůležitějších momentů pozemské evoluce. Kolikrát k němu ale vlastně došlo? O těch nejznámějších případech – pozemských rostlinách, obratlovcích či předcích hmyzu a několika dalších bezobratlých skupin – nepanují žádné pochyby. Jejich předkové postupně osídlili panenskou pevninu v průběhu prvohor. Otazníky se ovšem vznáší kolem charakteru této invaze. 
Člověk

Lidská evoluce stále pokračuje. Jak se dál vyvíjíme?

Jan Toman 1. 6. 2016
Často můžeme zaslechnout, že lidská evoluce v podstatě skončila. Ne, že by se lidé nemohli svému prostředí nadále přizpůsobovat, ale už to nemají zapotřebí. Lidská kultura spojená s takovými vymoženostmi jako je bydlení, odívání, sociální péče a pokročilé zdravotnictví podle těchto názorů odsunula evoluci na druhou kolej.